Зміст статті
У міських умовах травми у собак не є рідкістю. Причин може бути безліч: ДТП, конфлікти з іншими тваринами, нещасні випадки, наприклад, падіння з висоти, а також багато іншого. Наслідками таких травм можуть бути пошкодження різних органів і тканин, зокрема, переломи кісток.
Матеріал є логічним продовженням статті: Перелом лапи у собаки — велике лихо чи незначна неприємність?
Ознаки переломів у собак
Основними ознаками перелому кісток кінцівки є:
- кульгавість або повна відсутність опори на кінцівку;
- болючість під час руху або пальпації ділянки перелому;
- нестабільність і/або деформація в ділянці перелому.
У разі переломів кісток черепа та хребта може приєднуватися неврологічна симптоматика, яка буває різною. Це залежить від топографії пошкодження. При переломах хребта, як правило, страждає спинний мозок, що спричиняє негайне порушення його функції. Такі пацієнти зазвичай втрачають опороздатність на 2 або на 4 кінцівки і потребують негайної хірургічної допомоги.
У разі пошкодження кісток черепа неврологічна симптоматика також часто присутня, якщо має місце пошкодження мозку або черепних нервів. У разі тяжких ушкоджень клінічна картина може включати порушення свідомості, атаксію, судоми, порушення вітальних функцій.
Перша допомога при виявленні симптомів
У разі підозри на перелом у собаки необхідно насамперед оцінити ділянку ушкодження і тяжкість стану. Втрата свідомості, судоми, відсутність опори на 2 або 4 кінцівки зазвичай свідчать про тяжке пошкодження черепа або хребта. Такого пацієнта потрібно доставити в клініку негайно.
Якщо симптоми перелому у собаки обмежені кульгавістю або втратою опори на одну з кінцівок, часу на прийняття рішень зазвичай більше. Однак необхідно пам’ятати, що переломи кісток можуть супроводжуватися пошкодженнями м’яких тканин і внутрішніх органів.
Достовірно оцінити реальний масштаб ушкодження, загрозу життю та здоров’ю неможливо, обмежившись оглядом одразу собаки після перелому. Тому в таких випадках важливо пам’ятати таке:
- пацієнт має бути доставлений у ветклініку якомога раніше в будь-якому разі;
- за наявності відкритих ушкоджень із кровотечею накласти давлячу пов’язку або джгут, якщо є досвід його застосування);
- у разі підозри на перелом хребта унеможливити будь-які навантаження на ділянку спини і шиї. Такого пацієнта слід доставити в клініку на жорстких ношах (допустиме використання будь-яких підручних засобів).
Види переломів у собак
Для лікування перелому кістки у собаки потрібно знати не тільки його просторові характеристики, а й як, і чому він стався, тому до теперішнього моменту є кілька класифікацій. Тут ми наведемо лише основні критерії, за якими проводиться їх оцінка.
Залежно від безпосередньої причини виділяють травматичні та патологічні.
Травматичний перелом відбувається внаслідок позамежного фізичного навантаження на кістку — удар, падіння з висоти, вогнепальне поранення.
У разі патологічного перелому безпосередньою причиною є не механічне навантаження, а початкова зміна нормальної структури і міцності кісткової тканини.
До таких змін можуть призводити пухлини кістки або навколишніх тканин, порушення кровопостачання, запальні процеси або порушення метаболізму. Найчастішим і яскравим прикладом можна навести ювенільний остеопороз або аліментарний гіперпаратиреоїдизм.
При годуванні цуценяти натуральним м’ясом має місце дисбаланс мікроелементів, нестача кальцію в структурі поживних речовин.
Це призводить до гіперфункції паращитоподібної залози і, як наслідок, до руйнування нормальної кісткової тканини. Такий пацієнт може отримати перелом стегна або будь-якої іншої кістки за абсолютно нормального навантаження — активна гра, стрибок з невеликої висоти.
Іншим важливим показником є збереження м’яких тканин, що оточують ділянку травми. Відповідно до цього виділяють закритий і відкритий переломи.
Відкритим вважають перелом за наявності дефекту шкіри. Залежно від масивності ушкодження м’яких тканин і обширності дефекту шкіри також виділяють кілька ступенів тяжкості.
Детальніший опис необхідний лікарям-травматологам для правильної класифікації ушкодження, а також вибору найкращої стратегії лікування.
Для переломів довгих трубчастих кісток із цією метою зазвичай використовують буквено-цифровий код, що відображає рівень і його категорію. Так, простий поперечний перелом передпліччя в дистальній третині буде позначений як «23А3», а осколковий перелом стегна в середній третині діафіза як «32С3».
Існує також окрема класифікація переломів, що зачіпають ділянку метафіза, суглобові поверхні, тому визначається 6 типів таких травм.
Діагностика
Перелом кістки у собаки і взагалі травма, це не єдиний діагноз, за якого може мати місце кульгавість, відсутність опори, болючість. Тому під час огляду пацієнта лікар-травматолог оцінює клінічну картину загалом і збирає детальний анамнез, навіть якщо власники тварини описують чіткий причинно-наслідковий зв’язок між подією і початком кульгавості — досить часто це може бути лише збігом.
Як визначити перелом у собаки?
Під час ортопедичного огляду лікар визначає здатність до самостійного пересування, наявність і тип кульгавості, болючість під час активних і пасивних рухів, проводить спеціальні тести для більш детальної оцінки стану кісток і суглобів.
Першим і основним інструментальним методом для підтвердження патології кісток, а також суглобів є рентгенографія. Однак, інформативність рентгенівських знімків безпосередньо пов’язана з коректністю їх виконання.
Це може бути важко, а іноді навіть нездійсненно у пацієнта, який перебуває у свідомості, оскільки коректні рентгенологічні укладки потребують певного положення тіла, а в разі травми ця процедура може бути болючою. У таких випадках рентгенограми виконують під седацією за повного розслаблення м’язів пацієнта. Ба більше, інколи доводиться повторювати під седацією сам ортопедичний огляд, оскільки м’язовий тонус пацієнта за наявності болю та стресу не дає змоги лікареві скласти правильне уявлення про пошкодження.
Додатковим методом дослідження є комп’ютерна томографія (КТ). Вона дає змогу отримати тривимірне зображення пошкодженої ділянки з високою роздільною здатністю. Це буває необхідно в разі патологій, які достовірно невизначаються на рентгенівських знімках.
Також КТ часто використовується під час планування ортопедичних і нейрохірургічних операцій: для оцінки деформації та способів її корекції, для інтраопераційної навігації, визначення коридорів безпеки, для виготовлення індивідуальних імплантів.
План діагностики та лікування може скласти тільки лікар-травматолог після огляду пацієнта.
Лікування переломів кісток у собак
За відсутності належного лікування в деяких випадках можна бачити самостійне загоєння ділянки перелому, але, як правило, воно супроводжується деформацією і вкороченням довжини кістки, обмеженням рухливості в суміжних суглобах (контрактурами), м’язовою атрофією.
Усе це неминуче позначається на біомеханіці та часто веде до зниження опороздатності або інших проблем, залежно від локалізації ушкодження.
На загоєння впливає велика кількість чинників.
У сучасній травматології необхідні умови для відновлення кістки сформульовані таким чином:
- збереження кровопостачання;
- функціональна репозиція;
- стабільна фіксація;
- ранні рухи пацієнта.
Найчастіше лікування потребує хірургічного втручання.
Існують різні способи і засоби для остеосинтезу, проте одне з основних завдань травматолога — це вибір оптимальної методики для конкретного пацієнта, відповідно до типу перелому і перерахованих вище принципів. Помилки під час вибору стратегії лікування іноді можуть мати важчі наслідки, ніж повна відсутність лікування.
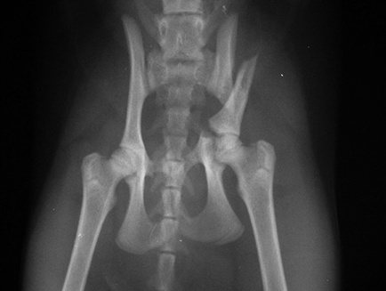
Таза

При переломах таза консервативне лікування розглядається як стратегія лікування частіше, ніж при пошкодженнях в інших областях.
Показаннями для остеосинтезу таза зазвичай є нестабільність або значний зсув кісткових уламків, який може спричинити стеноз порожнини таза. Такі умови створюються при переломах у ділянці кульшової западини, тіла та іноді крила клубової кістки, а також у разі розриву клубово-крижового зчленування. Ці ділянки безпосередньо беруть участь у передачі навантаження з кінцівки на хребет, тому їхнє пошкодження найчастіше потребує хірургічної стабілізації.
Переломи лонних і сідничних кісток оперують рідко, за наявності додаткових обставин, наприклад, у разі пошкодження кістковими уламками органів тазової порожнини). Також важливим критерієм під час обговорення стратегії лікування є час, що минув з моменту отримання травми. Ділянка таза багата на м’язи та інші м’які тканини і має рясне кровопостачання, що стимулює активне утворення сполучної тканини в ділянці пошкодження. Тому у пацієнта, який отримав перелом таза 10-15 днів тому, іноді приймається рішення не оперувати, навіть якщо спочатку хірургічне лікування переломів у собак було показано, оскільки на цих термінах операція більш травматична і не має достатньо переваг перед консервативним лікуванням.
Лап

Переломи стегнових кісток у собак вимагають хірургічного лікування набагато частіше, винятків не так багато. Завданням хірурга в цьому випадку є максимально раннє відновлення опори на пошкоджену кінцівку. Для досягнення цієї мети необхідна функціональна репозиція кісткових уламків і їхня фіксація, що дає змогу передавати навантаження з дистальної частини кінцівки на проксимальну, минаючи ділянку перелому. При цьому спосіб стабілізації має враховувати характер ушкодження, анатомічну ділянку, і не повинен порушувати кровопостачання пошкодженої ділянки. У багатьох випадках, варіанти стабілізації конкретного місця травми можуть бути різними, якщо вони відповідають описаним критеріям.
Важливо пам’ятати, що хоча остеосинтез у ділянці кінцівок не є екстреною операцією, час дорогий. Оптимальними термінами для остеосинтезу є 1-3 дні після отримання травми, бажано, одразу після того, як пацієнта визнано стабільним і готовим до оперативного втручання.
Якщо з якихось причин операція відкладається, виникає низка додаткових проблем. Спазм м’язів спричиняє зміщення кісткових уламків назустріч один одному, що через деякий час вкрай складно подолати на операції, щоб забезпечити їхню правильну репозицію. Якщо ж час від ушкодження до операції ще триваліший (понад тиждень), можуть приєднуватися і додаткові негативні чинники. На цих термінах починають відзначати активний розвиток сполучної тканини, що додатково ускладнює хірургічне втручання. М’язи в ділянці перелому починають вкорочуватися, що призводить до контрактур. Крім цього, не маючи нормального навантаження, м’язи кінцівки починають атрофуватися, що вкрай ускладнює післяопераційну реабілітацію.
Якщо він зачіпає суглобову поверхню, рекомендується максимально скоротити час від ушкодження до операції, оскільки інакше в ушкодженому суглобі стрімко розвиваються вторинні зміни, найчастіше, незворотні. Ще одна особливість внутрішньосуглобових переломів кісток у собак — точна анатомічна реконструкція суглобової поверхні.
Хребта

Перелом хребта — вкрай важке ушкодження, оскільки до нього майже неминуче приєднується ушкодження спинного мозку (зазвичай це його контузія в момент травми та компресія через зміщення уламків хребців).
Залежно від ділянки травми в таких пацієнтів зазвичай порушується контроль тазових (у разі пошкодження грудопоперекового відділу хребта) або всіх чотирьох кінцівок (у разі пошкодження шийного відділу).
Важливо розуміти, що під час таких операцій хірург може забезпечити реконструкцію хребетного стовпа, але не тканини спинного мозку (СМ). Тому можливості відновлення втрачених функцій безпосередньо пов’язані зі ступенем початкового пошкодження СМ.
Ті провідні структури СМ, які не пошкоджені анатомічно, але тимчасово не функціонують через набряк і стискання, можуть з часом відновити свою функцію. У таких випадках пріоритетним завданням є максимально рання репозиція і стабілізація ушкодженого сегмента хребта (у цьому разі оптимальний термін операції — не більше ніж 24 години після ушкодження).
Шанси на відновлення неврологічних функцій у разі перелому хребта оцінюються з огляду на ступінь неврологічного дефіциту на момент операції і часу, що минув від травми до втручання. За відсутності глибокої больової чутливості і часу понад 24 години шанси на відновлення є мінімальними, але не нульовими, якщо не констатовано повний анатомічний розрив спинного мозку.
Для діагностики таких пацієнтів часто достатньо рентгенографічного обстеження, однак, для повноцінного планування операції зазвичай використовується комп’ютерна томографія (КТ), та в деяких випадках магнітно-резонансна томографія (МРТ).
Хвоста

Переломи хвоста не є рідкістю, оскільки навантаження на цей відділ хребта зазвичай активне, за умови нестачі контролю за цією областю з боку тварини. Однак, як правило, реконструктивні операції в цих випадках не проводяться.
Основними причинами для таких рішень є такі аргументи. По-перше, будь-яка проведена операція може порушити кровопостачання в ділянці перелому більше, ніж повна бездіяльність. По-друге, мала значущість цієї ділянки для ведення пацієнтом подальшого життя хорошої якості.
Найчастішим рішенням є ампутація. Однак це необхідно у двох випадках:
за відсутності глибокої чутливості нижче ділянки перелому (це може означати нежиттєздатність периферичної частини хвоста, або призвести до повторної травматизації через відсутність його контролю);
у разі нестабільних ушкоджень поблизу основи хвоста, оскільки це може призводити до подальшої травматизації корінців СМ на рівні крижів.
У разі збереженої чутливості периферичної частини хвоста реконструктивні операції зазвичай не проводять, оскільки це не впливає на якість життя пацієнта.
Щелепи

Верхня щелепа являє собою єдину кісткову конструкцію з лицьовою частиною черепа. У механічному відношенні вона набагато надійніша, ніж нижня щелепа (НЩ) за умови надмірних механічних навантажень. Як правило, доводиться мати справу з переломами саме нижньої щелепи.
Головне при подібних ушкодженнях — забезпечення можливості самостійного харчування в найкоротші терміни.
Сучасні принципи лікування діють у цих випадках, однак анатомічні особливості накладають низку обмежень на вибір методик для стабілізації. У цих випадках майже не розглядають можливість застосування інтрамедулярних імплантів, оскільки це значною мірою порушує кровопостачання ділянки перелому і важко здійсненне з урахуванням анатомії.
Накостні методи фіксації (пластини) також використовують з обмеженням, оскільки під час їхнього встановлення необхідно враховувати розташування коренів зубів, прохідність альвеолярного каналу нижньої щелепи, а також дефіцит простору для розташування фіксувальної конструкції.
Як правило, накісткові пластини використовують для стабілізації переломів каудальніше кута НЧ. За більш ростральних ушкоджень зазвичай застосовується ортодонтична стабілізація композитними матеріалами з боку ротової порожнини. Альтернативним методом є стабілізація зовнішнім фіксатором. Ці методики не потребують втручання безпосередньо в ділянку перелому, менше порушують кровопостачання в цій ділянці, що часто має вирішальне значення.
Можуть мати місце ушкодження різного ступеня тяжкості, і прогноз може сильно різнитися від пацієнта до пацієнта, але найчастіше після подібних операцій додатково встановлюють езофагостому для надійного годування в післяопераційний період, поки пацієнт не продемонструє здатність до самостійного харчування.
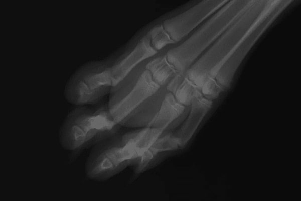
Пальця

Переломи пальців можливі, але вкрай рідко це входить у сферу інтересу хірурга. Такі пошкодження мало впливають на опороздатність. З цієї причини вони нечасто є причиною звернення в клініку.
Ще рідше можуть бути прийняті рішення щодо відновлювально-реконструктивної хірургії.
Зазвичай подібні травми підлягають самостійному загоєнню, на відміну від ушкоджень на сегмент вище. Переломи п’яти або плесна зазвичай вимагають хірургічної стабілізації. У цих випадках використовують комбінацію інтрамедулярної і зовнішньої стабілізації, оскільки інші методи фіксації в цій ділянці зазвичай малозастосовні.
Відновлення після перелому
У період відновлення після остеосинтезу навантаження, яке у звичайному житті несла зламана кістка, перебирає на себе фіксувальна конструкція.
За ідеального сценарію загоєння кістка поступово відновлює свою структуру, починає перебирати на себе навантаження, яке переносить фіксувальна конструкція. В ідеальних умовах на це йде від 6 до 8 тижнів.
Частою рекомендацією після остеосинтезу є обмеження рухливості. Однак це не рівносильно повній відмові від навантажень. Будь-який остеосинтез у кішок, собак, а також інших тварин виконується з урахуванням можливості ранньої опори на кінцівку.
Кожен пацієнт після остеосинтезу в будь-якій ділянці повинен максимально швидко відновити опороздатність на пошкоджену кінцівку. Це не завжди можливо, наприклад, через м’язову атрофію, контрактури або з інших причин. Однак функціональна активність оперованої кінцівки є непорушною умовою для загоєння.
Найчастіше, такі пацієнти потребують спостереження у лікаря-реабілітолога для найбільш швидкого подолання функціональних обмежень.
Поради експертів щодо догляду за улюбленцями у 2026.












⚠️ Усі висновки на нашому порталі ми пропонуємо вам прочитати і взяти до відома на ваш розсуд. Не займайтеся самолікуванням! У наших статтях ми збираємо останні наукові дані та думки авторитетних експертів у галузі здоров'я. Але пам'ятайте: поставити діагноз та призначити лікування може лише лікар.
Портал призначений для користувачів старше 13 років. Деякі матеріали можуть не підходити для дітей молодше 16 років. Ми не збираємо персональні дані у дітей молодше 13 років без згоди батьків.У нас є невелике прохання. Ми намагаємося створювати якісний контент, який допомагає піклуватися про домашніх вихованців, і робимо його доступним безоплатно для всіх, тому що віримо, що кожен заслуговує на точну і корисну інформацію.
Рекламні доходи покривають лише невелику частину наших витрат, і ми хочемо продовжувати надавати контент без необхідності збільшувати кількість реклами. Якщо наші матеріали виявилися вам корисними, будь ласка, підтримайте нас. Це займе всього хвилину, але ваша підтримка допоможе нам скоротити залежність від реклами і створювати ще більше корисних статей. Дякуємо!


