Лімфоцито-плазмоцитарний дуоденіт — це ідіопатичне захворювання, що виникає без видимих причин (idiopathicus, ідіо + грецьк. pathos страждання, хвороба, характеризується незрозумілим генезом).
Причини захворювання
Ця патологія несе за собою хронічний перебіг хвороби дванадцятипалої кишки, за якого виникає змішане запалення з переважанням лімфоцитів і плазматичних клітин, а також може мати безліч етіологічних причин і бути вторинним щодо інших дуоденітів.
Нині це захворювання зустрічається досить часто і виражається періодичними або нападоподібними діареями, внаслідок чого може виникати втрата ваги тварини, порушення обмінних процесів, структурні зміни слизової оболонки (ерозії, виразки), переродження запаленої тканини в пухлинний процес.
Частіше до цього схильні тварини середнього та старшого віку. Стать значення не має.
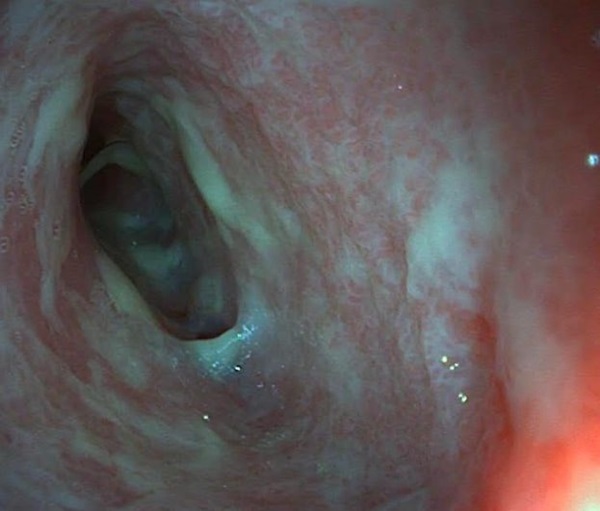
Діагностика дуоденіту
Для встановлення захворювання необхідно проходити рутинну ендоскопічну процедуру — гастроскопію, для візуалізації стану слизової оболонки дванадцятипалої кишки із забором матеріалу (біопсія) на гістологічне дослідження. Це допоможе підтвердити або виключити цю патологію.
Гастроскопія тваринам робиться під загальною анестезією. Попередньо необхідно пройти кардіологічне обстеження і здати аналізи крові.
Тварина має витримати голодну дієту 10-12 годин до початку процедури.


Головні інсайти 2026 року для власників тварин.












⚠️ Усі висновки на нашому порталі ми пропонуємо вам прочитати і взяти до відома на ваш розсуд. Не займайтеся самолікуванням! У наших статтях ми збираємо останні наукові дані та думки авторитетних експертів у галузі здоров'я. Але пам'ятайте: поставити діагноз та призначити лікування може лише лікар.
Портал призначений для користувачів старше 13 років. Деякі матеріали можуть не підходити для дітей молодше 16 років. Ми не збираємо персональні дані у дітей молодше 13 років без згоди батьків.У нас є невелике прохання. Ми намагаємося створювати якісний контент, який допомагає піклуватися про домашніх вихованців, і робимо його доступним безоплатно для всіх, тому що віримо, що кожен заслуговує на точну і корисну інформацію.
Рекламні доходи покривають лише невелику частину наших витрат, і ми хочемо продовжувати надавати контент без необхідності збільшувати кількість реклами. Якщо наші матеріали виявилися вам корисними, будь ласка, підтримайте нас. Це займе всього хвилину, але ваша підтримка допоможе нам скоротити залежність від реклами і створювати ще більше корисних статей. Дякуємо!


